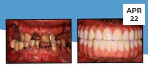
Demystifying Full-Arch Digital Dentistry and Making It Work For You
April 22, 2026 @ 6:00pm - 8:00pm
2 CE Credits
Arora Periodontics Office
1418 Blue Oaks Blvd, Roseville, CA 95747
Register Here 1418 Blue Oaks Blvd, Roseville, CA 95747
Why Extract Teeth When You Can Save Them
May 12, 2026 @ 6:00pm - 8:00pm
2 CE Credits
Arora Periodontics Office
1418 Blue Oaks Blvd, Roseville, CA 95747
Register Here 1418 Blue Oaks Blvd, Roseville, CA 95747
The All-on-4 Digital Workflow: From surgery to provisional
June 5, 2026 | 8:30am - 5:00pm
June 6, 2026 | 8:30am - 4:30pm
June 6, 2026 | 8:30am - 4:30pm
15 CE Credits
Arora Periodontics Office
1418 Blue Oaks Blvd, Roseville, CA 95747
Register Here 1418 Blue Oaks Blvd, Roseville, CA 95747